EMPOWERING NEUROSURGEONS TO ACHIEVE OPTIMAL and SAFE RESECTION
Planning for high definition image guided neurosurgery
Planning for high definition image guided neurosurgery

Our vision is to transform the landscape of brain surgical planning and assessment of complex neurological conditions

Our mission is to deliver current-state-of-art neuroimaging analytics to minimize diagnostic perplexity and enhance patient safety

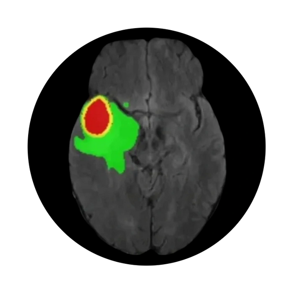
Brain and CNS tumors are one among the most fatal tumor associated with high morbidity and mortality. There are two main types of brain tumors depending upon their origin. Primary brain tumor originates in the brain and CNS region while secondary tumor (metastatic tumor) originates else where in the body and spread to the brain. The most common types primary brain tumors are Gliomas, Meningioma, Medulloblastomas (common in children), Pituitary Adenomas and Schwannomas. Diagnosis and treatment types varies for each type of tumor, depending up on tumor types, location, patient's overall health. Gliomas are the most common type primary brain tumor.
Primary diagnostic procedure involves recording and analyzing multiparametric MRI images which captures different aspects of tumor and provide better resolution for soft tissue without any harmful radiation. Our neuroimaging analytics solutions utilize MRI sequences to diagnose and access clinical conditions. Diagnosis plays a crucial role in treatment planning. This is where we play a critical role in assisting neuroradiologists.

Neurosurgery statistics reveal a significant global burden and disparity in care. Each year, an estimated 22.6 million patients suffer from neurological disorders or injuries requiring neurosurgical expertise, with 13.8 million necessitating surgery. Traumatic brain injuries, stroke-related conditions, tumors, hydrocephalus, and epilepsy comprise the majority of these cases. However, over 5 million essential neurosurgical cases remain unmet annually, predominantly in low- and middle-income countries. This highlights a critical shortage of neurosurgeons, especially in regions like Africa and Southeast Asia, where the treatment gaps are most severe
Our solution provides high-precision analytics tools that integrates AI models and advanced algorithms to simplify the landscape of complex brain surgery. During neurosurgery nerve damage is one of the most common causes of neurological deficit which accounts for 41% while 6% (Acta Neurochirurgica, 2020, 162:3005–3018) remains as permanent deficit leading to disability adjusted life years (DALYs) for the patient.






Corporate Office
5020, Rahul Bajaj Technology Innovation Center, IIT Bombay, Powai, Mumbai, Maharashtra, India - 400076.
Registered Office
112, Sraddha Palmera, Panathur, Bengaluru, Karnataka, India - 560037
Mobile : +91-9653398632
Email : business@iqsoft.ai
Web : www.healthcare.iqsoft.ai
IQSOFT Healthcare
Copyright © 2024 iqsoft.ai - All Rights Reserved.
We use cookies to analyze website traffic and optimize your website experience. By accepting our use of cookies, your data will be aggregated with all other user data.